

Welcome
眼角膜神經再生術 -角膜神經植入新發展
1.人類眼角膜位於眼球的最表面,是一層無血管的組織,提供視覺重要的功能。


2.眼角膜因為提供光學功能,雖然沒有血管,但是卻有極豐富的神經分佈。


3.眼角膜的神經分佈是皮膚神經分佈60~200倍,用以保護眼角膜,一但神經受到損傷,眼角膜對於外來的細菌或病毒侵犯,便無法啟動殺菌的機制,角膜一旦受損,沒有神經,也無法有修復機制的傷口癒合機制來復原,因此會產生角膜結疤的現象,造成視力受損甚至失明的危機。



Confocal images of a whole mount E16 quail cornea immunostained with the TuJ1 monoclonal antibody.
A: Whole cornea was scanned at an optimum focal depth to show the positioning of both short (red arrowhead)
and long nerves (white arrow and arrowhead). B-G are enlargements of the boxed region in A z-sectioned at different
focal depths starting at the basal surface of the endothelium (B), going distally towards the epithelial surface (G) of the cornea.
H: Schematic drawing of a cornea cross section showing the distribution of both short nerves (red) and long nerves
(blue and black). Dotted line beneath the epithelium denotes interface with Bowman's layer.
Dashed line above the endothelium denotes interface with Descemet's layer. The dotted line in (B)
demarcates the interface between the cornea and the limbus. Abbreviations: NR, nerve ring. Bars represents 500 mm.
4.提供眼睛的神經主要是第五對腦神經的第一分枝。


5.目前角膜受損的治療方式主要是要更換眼角膜。台灣目前一年提供將近500例眼角膜移植手術,改善病患視力。

6.眼角膜表層組織曾因為細菌或外傷後造成神經受傷,使癒合機制無法啟動,便會讓清澈的眼角膜混濁,但是,即使角膜移植也可能無法改善視力,因為角膜移植後也許會出現排斥狀況




神經營養性結膜炎
-
先天
-
後天
(1)單純皰疹感染 - 斑點或整體
(2)後窩腫瘤 - 整體
(3)創傷
-
角膜受到去神經性損傷,上皮癒合後合併導致慢性潰瘍。由於角膜沒有保護性作用,重複的小角膜損傷最終可導致慢性角膜瘢痕形成的永久性失明。
-
角膜移植無法成功治療此類角膜受損,因為新的角膜將受到相同的過程,而導致失去效果。



眼角膜神經再生術 Cornea neruotiziation
基礎圖示

手術圖示

適應症及優點
-
同側(患側)滑車神經:用於單純皰疹感染或創傷性神經病變
-
對側(健側)滑車神經:用於顱神經麻痺
-
短腓腸神經移植
-
神經痛 (-)
-
青光眼改善
-
老年病人
-
早期角膜再狹窄
-
初步恢復手術


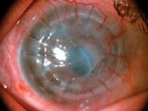
CASE 1- 單純皰疹病毒角膜炎 Herpes keratitis
-
47 y/o, 糖尿病,角膜結疤
-
2012前角膜移植, 2015排斥
-
2016 移植角膜嚴重退化,360o新生血管,眼壓高
-
視力:僅辨光覺
-
S/p cornea transplantation
-
S/p neurotization 4 months
-
IOP od 23mHg
-
VA: 0.3



CASE 2- 眼睛的瘢痕性類天疱瘡Ocular cicatricial pemphigoid
-
雙眼類天皰瘡,360o新生血管,角膜混濁白斑
-
自體口腔黏膜移植手術
-
視力: 眼前手動 30cm
-
IOP:14mmHg


-
VA: 0.2, 3 weeks post-op
-
IOP: 13
-
Cornea clear up
-
Improved in conjunctiva inflammation

CASE 3- 單純皰疹病毒感染行全層角膜移植術 HSV s/p PKP
-
2011 : 皰疹角膜炎
-
全層角膜移植2次,皆失敗
-
視力: 眼前手動 15cm
-
移植後,清晰度有所改善


-
Cornea clear-up at upper part
-
VA:(s/p 3wk) Hand motion 30cm

CASE 4- 眼眶破裂進行角膜移植 orbital rupture, s/p corneal graft



